Completed Cases


Porcelain veneers with conservative preparations.


Porcelain veneers with conservative preparations.


Restored with an all ceramic (emax lithium dysilicate) aesthetic crown (within 1 week.)


Restored with 8 all-ceramic (no metal) emax veneers with minimal preparation of top front 8 teeth. No need for temporary veneers due to minimal preparation of toot structure (start to finsh - 2 weeks.)


Before & After — Restored with 8 all-ceramic (no metal) emax veneers with minimal preparation of top front 8 teeth. No need for temporary veneers due to minimal preparation of toot structure (start to finsh - 2 weeks.)


Before & After full Retraction — Top arch restored with 2 implants and an implant supported bridge. Bottom arch restored with a tooth retained bridge. (6 months from start to finish.) The patient can now chew and function properly. The patient's confidence and quality of life improved greatly.


Before & After Implant Placed — Top arch restored with 2 implants and an implant supported bridge. Bottom arch restored with a tooth retained bridge. (6 months from start to finish.) The patient can now chew and function properly. The patient's confidence and quality of life improved greatly.


Before & After — Restored with a post and core (filling material) in one appointment.


Before & After — Restored with 2 emax all-ceramic restorative crowns.


Before & After — Comprehensive periodontal cleaning. The gums have been treated with a full cleaning and periodontitis has been prevented.


Before & After - Two porcelain veneers to correct asymmetry and colour concerns.
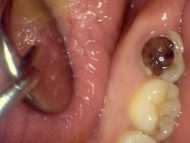
Root Canal, Post and Core Buildup
Cavity, prep and restoration















